Имплантация 2-х челюстей по методике все на 6
Пациент из Эстонии обратился с жалобами на оставшиеся зубы. Их внешний вид вызывал дискомфорт и затруднял его жизнь в обществе.
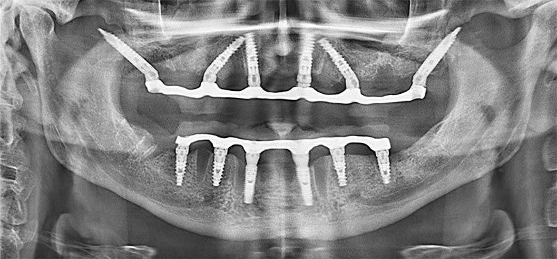
Была предложена методика протезирования зубов на 6 имплантатах. В верхнюю челюсть были вкручены 6 израильских имплантатов Noris Medical. На нижней челюсти ситуация был несколько иной. Поэтому использовалась комбинация из 4 тех же израильских имплантатов + 2 южно корейских Megagen.
Через несколько дней пациент вернулся домой совершенно другим, жизнерадостным, улыбчивым человеком.
Не верите!? Смотрите сами.
Предыдущая работа | Следующая работа
Записаться на прием











